

About the podcast
Traumatic head injury is one of the most common traumatic injuries we see in the UK and can have a wide range of presentations. Thankfully Mr Sam Jeffery Consultant Neurosurgeon, is on hand to help us navigate through this topic. Other neurological trauma (spinal trauma) will be covered in another episode.
We take a look at the types of injury, the range of severity of injuries and important elements in immediate management. Critically, we gain expert tips on the assessment of GCS (Glasgow Coma Scale) and Sam highlights how important it is to get this right and to communicate any changes to this.
With it being such a vast topic, we have produced the full, unedited episode which includes all the material Sam covers, along with a shorter episode which onyl covers the learning areas for the Major Trauma Nursing level 1 and 2 compotencies (both are linked on this page).
One key element to remember in the assessment of these patients as part of the ABCDE approach in D for disability is DEFG: don’t ever forget glucose! Recording and monitoring of blood sugar is pivitol in these patients as not only can hypoglycaemia mimic a severe head injury but control of blood sugar is key in these patients.
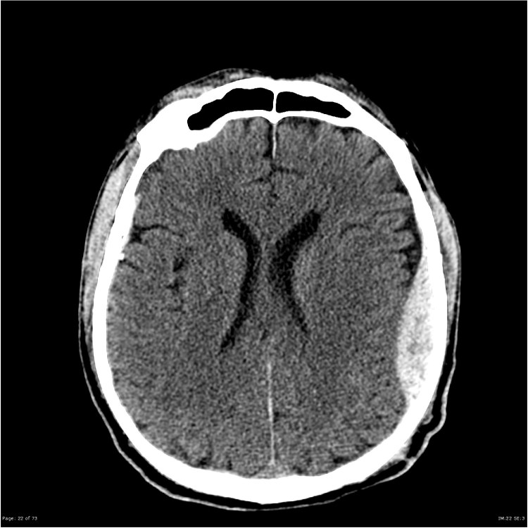
As always, show notes include the learning areas along with important additional material. Don’t forget to check out our videocast on CT Head imaging in trauma (link below).
Traumatic Brain Injury – ThePTN podcast
Traumatic Brain Injury (abridged) – ThePTN podcast
Learning areas in this podcast:
Disability assessment:
- The nurse/AHP can demonstrates a working knowledge of neuro anatomy
- The nurse/AHP is able to undertake an
assessment of the Glasgow Coma Scale (GCS) and understands the relevance of abnormal findings within each component and understands the relevance of abnormal findings when assessing, pupil size and reaction and limb movement - Understands the relevance of blood glucose measurement in the trauma patient
Disability management and care:
- Demonstrates awareness of the main intracranial injuries sustained to the trauma patient
- Can describe when to escalate care in relation to a drop in GCS
- Has an awareness of key principals in the care of a patient with a traumatic brain injury
Links:
Teach Me Surgery, functional neurosurgery here.
NICE clinical guideline CG176: Head Injury: assessment and early management here.
NICE CG176 Key Priorities for implementation, specifically CT Head guidance here.
ThePTN videocast CT Head here.
Images courtesy of Dr Derek Smith, Radiopaedia.org from the case rID: 36667, Case courtesy of Assoc Prof Frank Gaillard, Radiopaedia.org. From the case rID: 19252