About the videocast
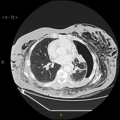
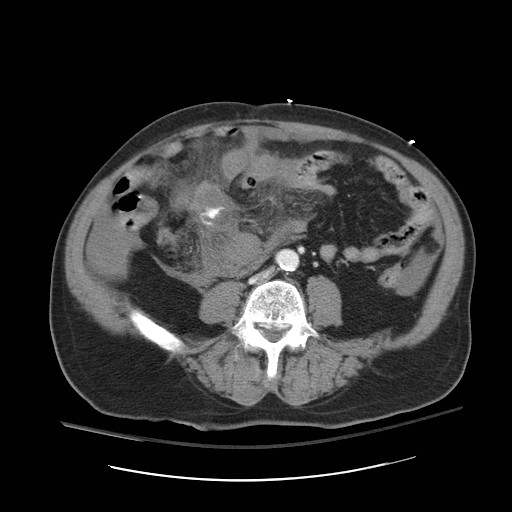
Imaging interpretation is a vital skill required for all those dealing with the multiply injured patient, not just the radiologist.
Management in trauma follows the ABCDE approach and radiological interpretation is no different. Consultant Radiologist Dr Nick Carter guides us through interpretation of the CT pan-scan as the radiology primary survey in trauma.
Links:
Radiopaedia CT Polytrauma (approach) link.
Images courtesy of Dr Derek Smith, Radiopaedia.org from the case rID: 36667, Dr Sajoscha Sorrentino, Radiopaedia.org from the case rID: 16291 and Dr Maxime St-Amant, Radiopaedia.org from the case rID: 20112


