

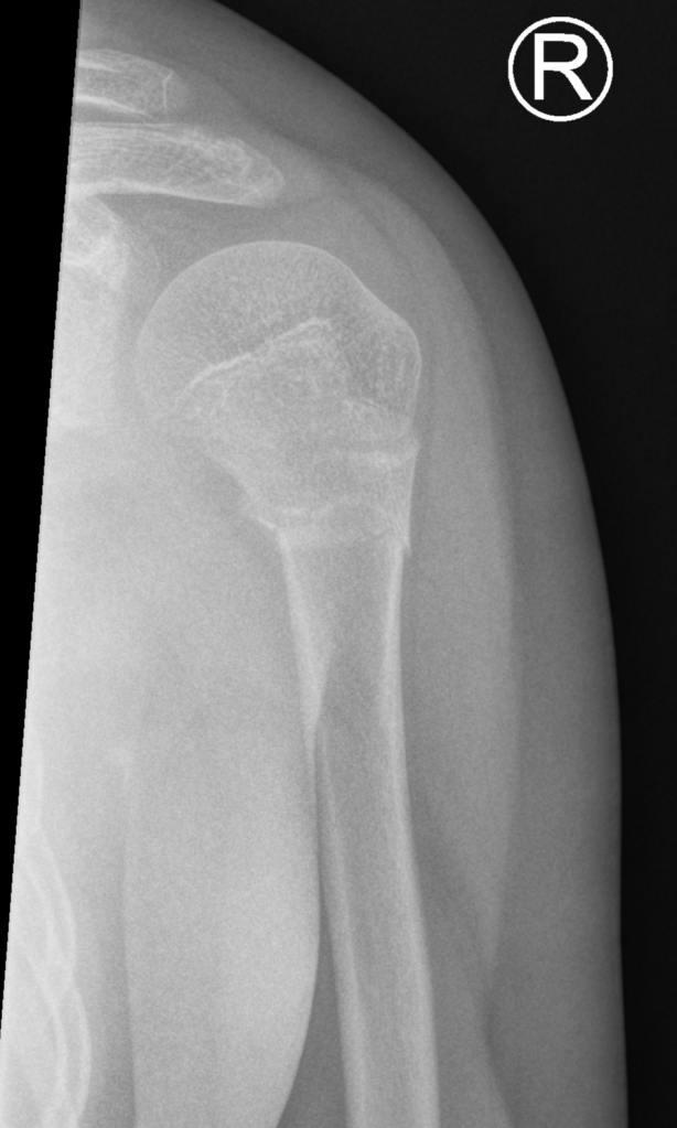
Frontal and lateral views of minimally angulated incomplete (greenstick) fracture through the proximal metaphysis. No extension to the physis. Normal glenohumeral alignment.
About the podcast
Dr Jude Foster is a consultant paediatric radiologist and contributing author to the Royal College of Radiologists guidelines on the use of radiological imaging in paediatric trauma.
Though paediatric trauma is not covered within the NMTNG learning areas, all trauma units (and Derriford MTC) act as paediatric trauma units for the South West Peninsula paediatric trauma network. This means we will all, at some point, have to deal with paediatric trauma patients so everyone does need to be aware of the practicalities of managing these patients.
Jude takes us through decision making on who to scan, what to scan and what modality of scanning. See the links for the Royal College of Radiologists guidelines Jude discusses. Though this is a higher level podcast, we hope it prompts everyone to be aware of the guidelines in place with paediatric trauma and feel empowered to question imaging decisions.
Make sure to listen to this podcast with our podcast on managing paediatric trauma.
Paediatric trauma imaging – ThePTN podcast
Learning areas in this podcast:
- No specific learning areas covered in this podcast though children certainly count as ‘special circumstances’
Links:
Royal College of Radiologists; Paediatric trauma protocols here.
RCEMLearning SAQ on paediatric trauma imaging here. (Accessed 10/1/23).