About the videocast
The frequency and ease with which head CT is available in our EDs has risen dramatically over the past few decades, as has access to rapid reporting by radiologists on-call. The question is, have we become spoiled by this availability? Or has the general clinician’s ability to interpret imaging similarly developed over the same time period?
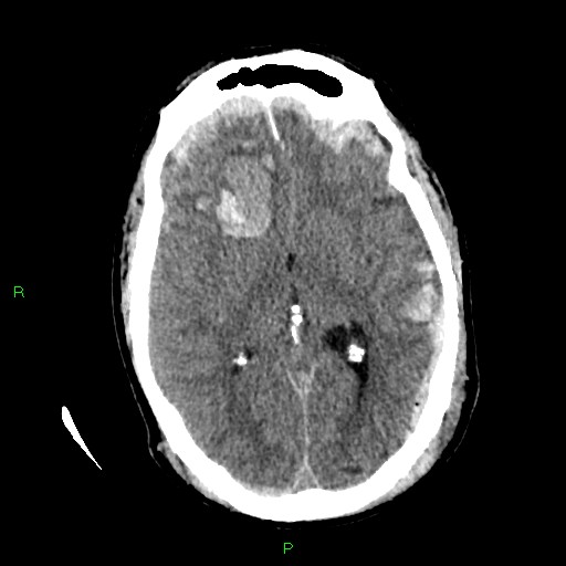
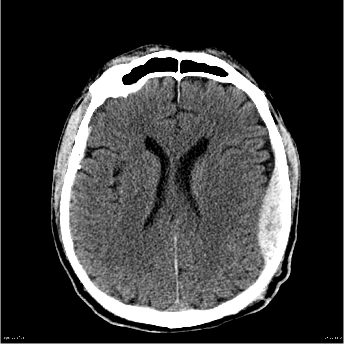
Consultant Radiologist Nick Carter joins us again to take us through interpretation of the head CT in the context of trauma. Starting with typical injuries and the patterns they show, features to aid pattern recognition and the key features on images that help guide and empower us to make the early referral to neurosurgery.
This videocast is not mandatory for the level 1 and 2 requirements but it may help with the following learning areas:
- The nurse/AHP can demonstrates a working knowledge of neuro anatomy
- Demonstrates awareness of the main intracranial injuries sustained to the trauma patient
Links:
Radiopaedia CT head (approach) link.
NICE – Head injury: assessment and early management, Clinical Guideline (CG176); Published: 22-Jan-14, Last updated: 13-Sep-19: link.
Images courtesy of Dr Derek Smith, Radiopaedia.org from the case rID: 36667, Case courtesy of Assoc Prof Frank Gaillard, Radiopaedia.org. From the case rID: 19252

