

About the podcast
In this first of two podcasts on chest trauma we hear from Mr Adrian Marchbank, consultant cardiothoracic surgeon and lead for blunt chest trauma at Derriford.
Topics covered include: the PTN chest trauma pathway, the importance of early analgesia, intercostal drains and rib fixation.
Finally, we touch on the importance of remembering that the vast majority of blunt chest wall injuries are frailty trauma and highlight the specific challenges these pose.
Follow the link below for the second podcast on management of chest injuries with Dr Ross Vanstone. Level1 and 2 learning areas listed in the show notes.
Chest trauma – ThePTN podcast
Learning areas in this podcast:
Clinical assessment and management of breathing and ventilation:
- Is able to show knowledge of anatomy and physiology of the respiratory system
- Is able to perform a structured respiratory assessment understanding normal breathing and recognise respiratory distress
- Is able to describe the causes of respiratory distress in trauma, both at the initial assessment and throughout the patient’s stay in the emergency department
Clinical assessment and management of pain:
- The nurse/AHP is able to demonstrate the use of appropriate pain assessment tool, suitable for the patient’s age, evelopmental stage and cognitive function
- The nurse/AHP has knowledge of the NICE (2016) ‘Major trauma: assessment and initial management’ guideline with respect to pain assessment and management
- The nurse/AHP is able an describe different modalities of pain management and their use: positioning, splinting, pharmacological, regional, non-pharmacological
Links:
Derriford chest trauma referrals contact (response within 24hrs): plh-tr.chest-trauma@nhs.net
PTN automatic Acceptance and Discussion Guide: here
PTN isolated chest injury referral guide: here
PTN Chest Wall Injury clinical guidance: here
ThePTN Podcast on Chest Injury Management: here
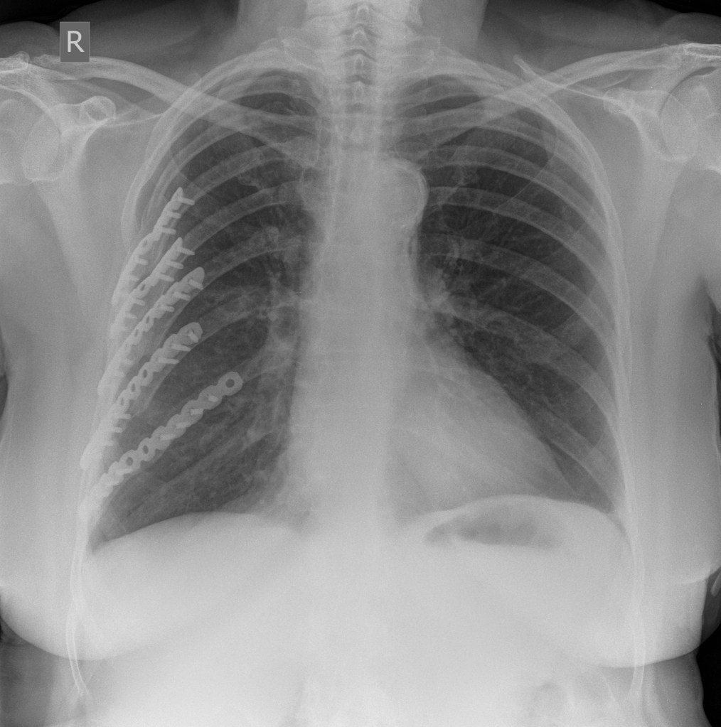
Images courtesy of Dr Jens Christian Fischer, Radiopaedia.org. From the case rID: 12821 and Dr Ian Bickle, Radiopaedia.org. From the case rID: 33585